Parodontologie
Parodontose ist eine entzündliche Erkrankung des Zahnhalteapparates und wird durch Bakterien verursacht. Die Entzündung verläuft oft chronisch, das heißt, der Patient merkt zunächst nichts.
Was hat sich geändert?
Einziges Symptom in dieser Phase, ist gelegentliches Zahnfleischbluten bei der Zahnreinigung. Erst viel später, treten Schwellungen, Abszesse und eine erhebliche Geruchsbildung auf.
Durch die fortschreitende Entzündung bildet sich der den Zahn umgebende Knochen und Zahnhalteapparat zurück. Es entsteht eine Zahnfleischtasche. In dieser, können sich zusätzlich Bakterien, die ohne Luft leben können, sog. Anaerobier, vermehren. Diese Bakterien verursachen einen besonders großen Verlust am Zahnhalteapparat. Das Zahnfleisch weicht zurück, schließlich (meistens nach Jahren) lockern sich die Zähne => Zahnverlust droht! Parodontitis zählt zu den Volkskrankheiten und führt bei Erwachsenen häufiger zu Zahnverlust als die gefürchtete Karies. Besonders gefährdet sind leider Diabetiker.
Aber nicht nur Zahnverlust droht, die gesamte Gesundheit ist gefährdet. So ist Parodontose der größte Risikofaktor koronarer Herzkrankheiten. Parodontitisbakterien gelangen in die Blutbahn und können so Arteriosklerose, Schlaganfall und Herzinfarkt verursachen. Bei Schwangeren mit Parodontitis, besteht die Gefahr, einer Frühgeburt. Atemwegserkrankungen drohen.
- Diabetes Mellitus (Typ 2) läßt sich nicht erfolgreich behandeln, weil eine entzündliche Parodontose die Einstellung der Zuckerwerte erschwert.
- Diabetes wiederum schwächt die Immunabwehr, was die Parodontitis begünstigt.
Ein Teufelskreis entsteht, wenn man nichts unternimmt. Hierbei ist hervorzuheben, dass Parodontitis eine Erkrankung des Zahnzwischenraumes ist und an dieser Stelle, eine gute Mundhygiene unerlässlich ist!
Faktoren, die eine Parodontis begünstigen:
1. Zahnstein, ist nach heutigen Erkenntnissen ein Risikofaktor, weil das Anheften und das Besiedeln von Bakterien an den Zähnen begünstigt werden.
2. Rauchen, wurde ebenfalls als Risikofaktor erkannt, da der Widerstand gegen die Bakterien im Zahnfleisch gehemmt wird.
3. Veranlagung, auf Parodontitisbakterien zu reagieren, wird von den Eltern an die Kinder vererbt.
Es gibt gesicherte Erkentnisse, dass bei einer Kombination aus guter Mundhygiene, einer regelmäßigen fachlichen Reinigung und der damit verbundenen frühzeitigen Erkennung einer wiederkehrenden Infektion, Parodontitis verhindert werden kann.
4. Starker psychischer Stress, beeinflusst über die Bildung von Hormonen, die Immunantwort. Bakterien nisten sich in Zahnfleischtaschen ein, die sich beim Zurückweichen des Halteapparats bilden. Ob sie dort Unheil anrichten, hängt erheblich von den eigenen Abwehrkräften ab. Bei einer guten Körperabwehr, können sie lange davon abgehalten werden, in die Tiefe vorzudringen. Geschwächt ist die Abwehrkraft, dagegen durch Allgemeinerkrankungen, genetische Faktoren und – wie so häufig - durch die Lebensgewohnheiten (z.B. Stress, Fehl- und Mangelernährung).
5. Diabetes, führt zu einer Störung im Kollagenaufbau – dem Material aus dem der Zahnhalteapparat besteht. Entzündungen und Wundheilungsstörungen treten häufiger auf und sind dann leider mehr als normal ausgebildet. Zusätzlich tritt Parodontitis leider bei diesen Patienten häufiger auf und ist schwieriger zu behandeln.
Was Sie selbst tun können:
Zahnzwischenraumreinigung Zahnseide und die Zahnzwischenraumbürste bringen die vorbeugende Wirkung, nicht das Bürsten allein!

Zungenreinigung, auch die regelmäßige Reinigung der Zunge ist nützlich!
Wichtig ist Ihre Entscheidung zur Vor - und Nachsorge!
Bis zu einem gewissen Maß kann eine mangelhafte Immunabwehr durch effektive Zahnpflege kompensiert werden. Ist die Immunabwehr jedoch stark geschwächt, hilft auch sie wenig. Dann ist eine Parodontalbehandlung dringend geboten. Rechtzeitig und richtig behandelt, kann den Folgen Einhalt geboten werden; Unbehandelt dagegen droht unweigerlich Zahnverlust!!
Nehmen Sie mit uns Kontakt auf, wir zeigen Ihnen gerne, was für Sie speziell das effektivste Mundhygienemittel ist.
Vorbeugende Maßnahmen in unserer Praxis:
PSI Test: Mit einem parodontalem Screening Index (PSI) kann festgestellt werden, ob eine Behandlung erforderlich ist. Es wird getestet, ob das Zahnfleisch auf Reizung mit einer Sonde blutet und zum Beispiel Zahnstein oder überstehende Kronen und Füllungsränder das Zahnfleisch reizen und so zu Entzündungen führen. Hinweis: Viele Krankenkassen haben die Erforderlichkeit erkannt und haben für diesen Test bereits vollständig die Kosten übernommen.
Die Professionelle Zahnreinigung hat eine vorbeugenden Wirkung auf Zahnerkrankungen. Ist die Notwendigkeit erst einmal erkannt, ist die Prophylaxe absolut erforderlich, um das Behandlungsergebnis nach einer Parodontosetherapie aufrecht zu erhalten. Die angestrebten Intervalle (Woche/Monat), hängen von der Schwere der Erkrankung ab. Hinweis: Die Krankenkassen betonen immer wieder die Notwendigkeit einer guten Prophylaxe. Die Leistung zur professionellen Zahnreinigung wird je nach Krankenkasse oder privater Kostenträger gefördert bzw. ganz übernommen. Auch bei diesen Fragen, unterstützen wir Sie gerne!
Parodontitistherapie.
Unser Ziel ist die Festigung des entzündeten Zahnfleisches und die Hilfestellung zur guten Mundhygiene des Patienten unterstützt durch professionelle Nachsorge zur Gesunderhaltung. Voraussetzung dafür ist, dass vor Beginn der eigentlichen Behandlung, alle Beläge, Zahnstein sowie überstehende alte Füllungen und Kronen mit überstehenden Rändern entfernt werden. Nach der Behandlung sind dann regelmäßige Untersuchungen erforderlich, denn die angeborene Veranlagung auf Parodontitisbakterien zu erkranken bleibt bestehen.
Wie oben beschrieben, ist Parodontitis eine Erkrankung des Zahnzwischenraumes; Vor einer Therapie ist eine professionelle Reinigung wichtig, um die Anzahl der Krankheitserreger zu senken, welche die Besiedlung des Zahnes mit Bakterien begünstigen, werden schon in dieser Vorbehandlungsphase beseitigt. Durch umfangreiche Fortbildungsbesuche kombiniert mit langjährigen fachübergreifenden Erfahrungen, ist es uns gelungen, biologische Konzepte zur Behandlung von Zahnbetterkrankungen zu erarbeiten. Diese Konzepte müssen für jeden Patienten individuell modifiziert werden. Durch die Einführung des Airscalers (eine Art Minischwingschleifer) sind chirurgische Eingriffe,auch bei langer Erkrankungsdauer, in unserer Praxis sehr selten geworden!
Was tun, wenn eine Reinigung nicht mehr ausreicht?
Das operative Entfernen der Zahnfleischtasche sehen wir als letzte Möglichkeit, da in den meisten Fällen schon durch eine schonende professionelle Reinigung die Ausheilung der Erkrankung statt finden kann. Sehr ästhetische Resultate erreichen wir durch mikrochirurgische Eingriffe. Aus einer Zahnfleischtasche entwickelt sich bei einer ausgeprägten Entzündung des Zahnhalteapparates, eine sogenannte "Knochentasche". Diese Knochentaschen stellen weiterhin ein Reservoir für Krankheitskeime dar. Knochentaschen können nur durch Entfernung von Knochen, oder durch Auffüllen mit Knochenersatzmaterial, oder Schmelzmatrixprotein bleibend behandelt werden.

Knochenersatzmaterial
Parodontitis zwischen den Wurzeln, kann ebenfalls mit den gleichen Mitteln behandelt werden. Lediglich bei weit fortgeschrittenen Entzündungen, muss in seltenen Fällen,eine Wurzel geopfert werden, um den Zahn zu retten. Wir haben individuelle Behandlungskonzepte zur Knochenvermehrung durch Wachstumsfaktoren, Knochenersatzmaterialien und Kollagenmembranen. In Kombination mit großer implantologischer und prothetischer Erfahrung haben wir sehr gute - über Jahre - stabile Behandlungsergebnisse.

Schmelzmatrixproteine
Emdogain
Durch die Verwendung von Wachstumsfaktoren (Schmelzmatrixproteinen), ist es möglich, den verloren gegangenen Zahnhalteapparat zurück zu gewinnen. Diese Proteine, werden in einem operativen Eingriff auf die gesäuberte und konditionierte Wurzel aufgetragen. Die Eiweiße aus diesen Wachstumsfaktoren, ermöglichen dann die Regeneration.
Wir kombinieren Endogain mit mikrochirurgischen Techniken und erhalten ausgezeichnete Resultate bei der Wurzelabdeckung von Rezessionen.

Sie werden in unserer Praxis – je nach Defektgröße - allein, oder in Kombination mit Knochenersatz eingesetzt, um Knochentaschen oder Knochendefekte, zwischen den Wurzeln bei mehrwurzligen Zähnen erfolgreich zu behandeln.
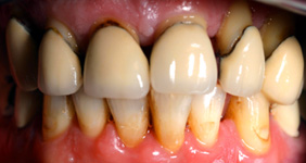
Vor der Behandlung
Nach der Behandlung
Was kann man tun, wenn trotz guter Nachsorge, die Parodontitis wieder auftritt? In diesem Fall sollte ein spezieller Bakterientest gemacht werden, um zu klären, welche Bakterien die Erkrankung verursachen. Durch diesen Test wird es möglich die ursächlichen Bakterien bei der Behandlung durch eine wirksame Antibiotikakombination zu bekämpfen!
Wie muss man vorgehen, wenn die Parodontitis besonders früh auftritt und rasch fortschreitet? Es handelt sich um eine Sonderform der Parodontitis, der sogenannten der aggressiven Parodontitis, die vor dem 35. Lebensjahr auftritt. Der Gensondentest, ein spezieller Bakterientest ist dringend erforderlich. Wurde ihre Erkrankung ohne Antibiotika behandelt oder ohne Bestimmung der Bakterien, ist der Misserfolg vorprogrammiert. Nehmen sie unverzüglich Kontakt mit uns auf.
Wir sind auch in diesem Fall für Sie da.
Weitere Informationen erhalten Sie auch auf unseren Blogs:
