CMD (Craniomandibuläre Dysfunktion) Kiefergelenksknacken / Kiefergelenksschmerzen
Patienten mit Kiefergelenksgeräuschen, häufig begleitet von Schmerzen oder Beschwerden, suchen oft in unserer Praxis Hilfe. Viele haben eine Odyssee durch verschiedene Praxen hinter sich. Einige haben einen Kieferorthopäden aufgesucht, weil sie denken, der Orthopäde behandle Knochen und Gelenke. Oder sie werden beim Kieferchirurgen mit großen Operationen, von zweifelhafter Prognose, konfrontiert. Andere Patienten werden vom Hals- Nasen- Ohrenarzt an uns überwiesen, denn die ausstrahlenden Schmerzen vor dem Ohr sind keine Ohrenschmerzen!
Wir haben fundierte Kenntnis und Erfahrung in der Kiefergelenkstherapie. Dr. Günter Leugner studierte an der "Kiefergelenks-Universität" in den Niederlanden unter Prof. Dr. Boering. Zahnarzt Andreas Leugner studierte bei Prof. Dr. Lotzmann in Marburg. Prof. Lotzmann habilitiert zum Thema Kiefergelenksdiagnostik und -therapie und ist heute einer der führenden Wissenschaftler im Bereich Kiefergelenk.
Da sich Patienten sehr große Sorgen, bezüglich der Entstehung und der Prognose von Kiefergelenkserkrankungen machen, beantworten wir hier die häufigsten Fragen.

CMD wird aus den Wörtern "Cranium" (Schädel), "Mandibula" (Unterkiefer) und "Dysfunktion" (Fehlfunktion) hergeleitet. Als cranio-mandibuläre Dysfunktion, oder CMD bezeichnet man eine Fehlfunktion im Zusammenspiel von Oberkiefer und Unterkiefer. Auslöser sind krankhafte Bissverlagerungen zwischen Oberkiefer und Unterkiefer, welche eine Funktionsstörung zur Folge haben. Heute weiß man, dass die CMD die Ursache für eine Vielzahl in unterschiedlichster Krankheitsbilder sein kann.
Zum Beispiel:
1. Schwindel
2. Ohrenschmerzen, bis zum Tinitus
3. Zahn-, Muskel-, Kiefergelenkschmerzen
4. Verspannungen im Gesicht
5. Kopf-, Nacken-, Schulter- und Rückenschmerzen
6. Auslöser für Migräne
7. Blockaden der Halswirbel
8. Scoliose / Verkrümmung der Wirbelsäule
9. Beckenschiefstand
Bei einer Diagnose, übernimmt der Zahnarzt selbstverständlich -neben der Rolle als Behandler- auch die Rolle eines Koordinators an die entsprechenden Fachtherapeuten (z.B. Orthopäde, HNO-Arzt etc.).
Das Kiefergelenk ist ähnlich wie das Kniegelenk aufgebaut. Es hat einen Meniskus, also eine Knorpelplatte, die die Bewegungen der auftretenden Kräfte dämpft und den Abrieb verhindert. Diese Knorpelplatte im Kiefergelenk heißt Diskus. Der Diskus ist mit Bändern auf dem Kiefergelenksköpfchen fixiert. Bei kleineren Öffnungsbewegungen dreht sich das Köpfchen in der Gelenkpfanne.

Beim normalen Biss – alle Backenzähne haben miteinander Kontakt – befindet sich der Diskus zwischen Gelenkkopf und Gelenkpfanne. Erst bei größeren Öffnungsbewegungen verlassen Diskus und Gelenkköpfchen die Gelenkpfanne und wandern nach vorne, um eine weitere Mundöffnung zu ermöglichen.
Wie entstehen dann die Knackgeräusche?
Wann kommt es zu Knirsch- Reibegeräuschen beim Kauen?
Warum kommt es zu Schmerzen?
Durch "Ausleiern" des elastischen Bandapparates wird der Diskus nicht mehr richtig auf dem Gelenkkopf fixiert. Wenn alle Seitenzähne Kontakt miteinander haben ist diese Knorpelscheibe nicht mehr im Gelenkspalt zwischen Gelenkpfanne und Gelenkköpfchen, sondern liegt vorne im Gelenk. Das Gelenk ist komprimiert. Erst bei der Öffnungsbewegung springt der Diskus auf das Köpfchen. Das erste Knacken ist zu hören. Bei der Schließbewegung springt das Köpfchen wieder vom Diskus. Ein zweites Knacken ist zu hören. Bei starker Arthrose des Kiefergelenkes treten diese Geräusche auf. Sie verweisen auf eine weit fortgeschrittene Zerstörung der Gelenke. Die Schmerzen entstehen durch Reibung des Bandapparates im Gelenk. Da der Diskus die Kräfte nicht mehr abfängt, werden die Bänder einschließlich der Nerven eingequetscht. Durch diese Nervenreizung entsteht der Schmerz.
Bei länger bestehenden Kiefergelenkserkrankungen ist das Gelenk stark komprimiert und lässt dem Diskus keinen Platz mehr um aufzuspringen. Des weiteren sind die elastischen Bänder sehr lose geworden und üben nur noch geringen Zug auf den Diskus in Richtung Köpfchen aus. Bei der Öffnungsbewegung wird erst sehr starker Zug auf die Bänder ausgeübt, was Schmerzen verursacht. Die Schmerzen hemmen dann die Öffnungsbewegung.
Diagnose:
Die primäre Diagnostik besteht in einem Abhören der Kiefergelenke mit dem Stethoskop. Gesichtsmuskeln, die bei der Erkrankung mitbetroffen sind, können auf Schmerzhaftigkeit überprüft werden.

Die Aufzeichnung des Kieferdrehpunktes
Durch die sehr genaue Vermessung der Kiefergelenke, der Drehpunkte und der Öffnungsbewegung kann festgestellt werden, in welchem Moment im Bewegungsablauf das Knackgeräusch auftritt.
Aufzeichnungsgerät, locker am Kopf befestigt.

Aufzeichnung

Bewegungsbahnen bei Unterkiefer Vorschub- und Seitswärtsbewegung
Es gibt Tests zur Feststellung einer Kompression. Durch spezielle Kiefergelenks-Röntgenaufnahmen können krankhafte Veränderungen des Gelenkköpfchens bewiesen werden. Auch ist eine Kompression zu diagnostizieren.
Therapiemöglichkeiten
Wir bevorzugen eine konservative Therapie ohne Chirurgie. Die erste Hilfe bei Knacken, Beschwerden oder Schmerzen besteht in der Entlastung der Gelenke durch eine Kunststoffschiene. Diese unsichtbare Schiene wird auf die Zähne gesteckt und kann vom Patienten jederzeit wieder entfernt, oder erneut aufgesteckt werden.

Kunststoffschiene

Kunststoffschiene / intraoral

Kunststoffschiene / Seitenansicht
Nach Verschwinden der Beschwerden, wird die Bisshöhe der Schiene reduziert,mit dem Ziel, dass Ober- und Unterkiefer schmerzfrei im normalen Zusammenspiel sich in einander fügen. Es bestehen weitere Therapiemöglichkeiten, welche Beschwerden nachhaltig lindern können -selbstverständlich nach der Aufklärung des Patienten-:
- Dehnübungen
- Wärmebehandlungen
- Entspannungsübungen
- Stressreduzierung z.B. durch autogenes Training
- Physiotherapie, auch durch Ostheopathie.
Um chronischen Schmerzen beizukommen, können schmerzlindernde und entzündungshemmende Medikamente eingesetzt werden. Die Wichtigkeit der Entspannung ist bereits oben erwähnt, um diese zu unterstützen werden
- schlafunterstützende und
- muskelentspannende Medikamente (auch Botulinumtoxin) ebenso eingesetzt, wie
- TENS - Transkutane Elektrische Nervenstimulation.
Die Indikation ist selbstverständlich abhängig von der Befindlichkeit und dem individuellen Befund.
Weitere nicht unerhebliche Maßnahmen können sein:
In erster Linie eine Zahnsanierung. Diese hilft, die abgenutzten Kauflächen sowie Zahnfehlstellungen und eine gestörte Okklusion (Bissstellung) wieder zu normalisieren. Zur Entspannung der Nackenmuskulatur können Patienten Nachts ein Nackenstützkissen verwenden. Der Patient sollte entweder auf dem Rücken oder auf der Seite schlafen, da sich in der Bauchlage die Kau- und Nackenmuskulatur nicht wirklich entspannen kann!
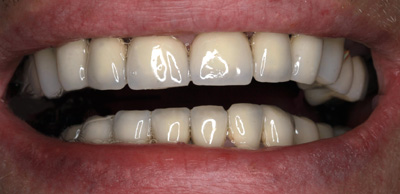
CMD - sehr geringe Bißhöhe

Patient mit sehr geringer Bisshöhe
Kunststoffschiene bei stark reduzierter Bisshöhe
Prothetische Behandlung
Treten nach Absenken der Schiene die Knackgeräusche wieder auf, oder ist davon auszugehen, dass eine zu geringe Bisshöhe ursächlich ist, so muss eine permanente Bisserhöhung in Form von Teilkronen oder neuem Zahnersatz hergestellt werden.

Der selbe Patient nach erfolgreicher prothetischer Behandlung.
Weitere Infos zur CMD:

